Để có 1 case niềng răng thành công thì tay nghề, chuyên môn của bác sĩ thực hiện giữ vai trò mang tính quyết định. Hiểu được điều đó, tại Nha khoa Quốc tế Dencos Luxury luôn chú trọng xây dựng đội ngũ bác sĩ chuyên khoa giỏi, nhiều kinh nghiệm. Riêng với niềng răng, khách hàng sẽ được Tiến sĩ – bác sĩ Quách Thị Thúy Lan trực tiếp thăm khám, tư vấn và tiến hành kĩ thuật, đảm bảo cho kết quả tốt nhất.

Tiến sĩ Quách Thị Thúy Lan – Đảm trách dịch vụ niềng răng tại Dencos Luxury
Tiến sĩ, bác sĩ chuyên ngành chỉnh nha GIỎI CHUYÊN MÔN
Tiến sĩ Quách Thị Thúy Lan là một trong những bác sĩ chỉnh nha “có tiếng” tại Việt Nam với chuyên môn cao, được đào tạo bài bản và từng tham gia nhiều khóa học chuyên sâu, nâng cao về niềng răng thẩm mỹ trong và ngoài nước:– Là Tiến sĩ Răng – Hàm – Mặt tốt nghiệp trường ĐH Y Hà Nội
– Hiện đang là giảng viên khoa chỉnh hình răng tại trường Đại học Y Hà Nội
– Bác sĩ đã thực hiện hơn 1200 case chỉnh nha từ đơn giản đến phức tạp
– Trải qua nhiều lớp đào tạo chuyên ngành niềng răng cao cấp tại Việt Nam và Thế giới
– Nhận chứng chỉ chuyên khoa, tham gia nhiều khóa học lâm sàn về chuyên môn tại Singapore, Thái Lan, Bali…
– Tham gia nhiều Hội nghị nắn chỉnh răng tại Singapore, Thái Lan, Indonesia
Với chuyên môn được đào tạo bài bản, cộng với khả năng tiếp nhận nhanh chóng những công nghệ, kỹ thuật niềng răng mới trên thế giới, Tiến sĩ Quách Thị Thúy Lan đã xây dựng được cho bản thân một nền tảng kiến thức chắc chắn về dịch vụ niềng răng thẩm mỹ, thực hiện thành công hàng nghìn ca niềng răng mức độ vừa và khó.
Không những thế, với kỹ thuật chuyên môn của mình, bác sĩ Lan còn nhanh chóng truyền đạt những kiến thức bản thân có được cho những đồng nghiệp của mình để ngày càng có nhiều bác sĩ, chuyên gia trong lĩnh vực niềng răng thẩm mỹ.


Một số bằng cấp, chứng chỉ của bác sĩ Quách Thị Thúy Lan
Có nhiều kinh nghiệm trong lĩnh vực chỉnh nha
Ngoài chuyên môn thì kinh nghiệm chính là một trong những yếu tố giúp tay nghề của mỗi bác sĩ lên cao hơn trong quá trình thực hiện dịch vụ. Với Tiến sĩ cũng không ngoại lệ. Hơn 15 năm kinh nghiệm trong lĩnh vực niềng răng thẩm mỹ cùng với chuyên môn dịch vụ của mình, Bác sĩ Lan đã giúp trên 1200 trường hợp khách hàng điều chỉnh vị trí răng, sai lệch khớp cắn, khớp cắn không chuẩn, không đều về vị trí cân xứng, hài hòa đường nét, cười xinh duyên chuẩn khớp cắn.
Khách hàng được chụp CBCT OP300 trước khi niềng răng
Kinh nghiệm của bác sĩ Lan được thể hiện được rõ nét ở chỗ: Chỉ cần
nhìn vào răng của khách hàng cũng có thể chẩn đoán được tình trạng hiện
tại, đồng thời đưa ra được giải pháp niềng chỉnh phù hợp nhất, dự đoán
được hướng và tốc độ di chuyển của răng để chốt được thời gian niềng
răng phù hợp.Một trong những yếu tố nữa có thể thể hiện được kinh nghiệm niềng răng của bác sĩ Lan chính là có thể dự đoán được cấu trúc cơ mặt của khách hàng sẽ thay đổi như thế nào sau khi thực hiện. Điều này sẽ giúp cho bác sĩ có thể đưa ra những lời khuyên cho khách hàng của mình, từ đó có thể chuẩn bị tâm lý tốt nhất.

Ưu tiên quyền lợi của khách hàng lên trên hết
Bác sĩ có TÂM – có TẦM
Đội ngũ bác sĩ, chuyên gia tại Nha khoa Quốc tế Dencos Luxury luôn đề cao và đặt những ưu tiên của khách hàng lên trên hết. Điều này được thể hiện rõ từng quy trình tiếp đón cũng như thái độ của bác sĩ đối với khách hàng.– Tận tình thăm khám và tư vấn cụ thể, phù hợp với tình hình hiện tại của khách hàng
– Tận tâm với từng trường hợp khách hàng, giúp khách hàng hiểu rõ hơn về tình trạng của bản thân
– Không dấu khách hàng về trường hợp của mình
– Đưa ra lộ trình niềng răng cũng như phương pháp niềng tối ưu nhất cho khách hàng
– Hỗ trợ khách hàng bất cứ điều gì trong quá trình thực hiện dịch vụ
– Áp dụng niềng răng trả góp 0% lãi suất để tạo điều kiện tốt nhất cho khách hàng
– Không thêm bất cứ phụ phí nào trong quá trình niềng răng


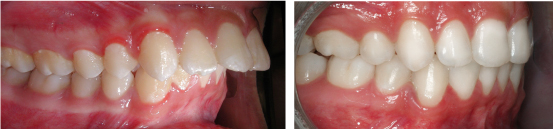
Kết quả khách hàng niềng răng tại Nha khoa Quốc tế Dencos Luxury
Luôn đặt lợi ích của khách hàng lên trên hết, đội ngũ bác sĩ tại Nha
khoa Quốc tế Dencos Luxury nói chung sẽ mang đến cho khách hàng một chất
lượng dịch vụ tốt và uy tín nhất, giúp khách hàng yên tâm hơn trong và
sau khi thực hiện. Điều quan trọng vẫn là kết quả niềng răng cuối cùng,
chắc chắn khách hàng sẽ hài lòng tuyệt đối!
0 nhận xét Blogger 0 Facebook
Đăng nhận xét